请在Chrome、Firefox等现代浏览器浏览本站。另外提供付费解决DEDE主题修改定制等技术服务,如果需要请 点击 加我 QQ 说你的需求。

孩子的左视力在一周内就减少了,原因通常被错误地专注于“腹部” ...

培训故事 bet356在线官方网站 评论

*对于只阅读的医疗专业人员。这种疾病在两只眼睛中都是不对称的,可以被误诊为具有ammblyopia。撰写者:李·彭威(Li Pengwei)12岁的女孩

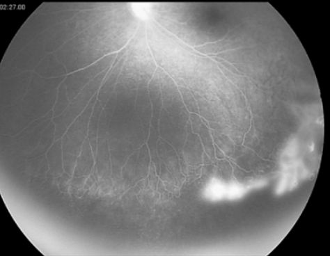
*对于只阅读的医疗专业人员。这种疾病在两只眼睛中都是不对称的,可以被误诊为具有ammblyopia。撰写者:李·彭韦(Li Pengwei)的12岁女孩小林(Yiaoling)因“左眼视力在1周内下降”而来到眼科系进行治疗。小女孩有一个完整的分娩,以前身体健康。他在左眼被诊断出患有先天弱视。眼科检查发现,由孩子校正的右眼为0.8,左眼更正了视力为0.4,两只眼睛的前部没有异常。在研究学生后进行了基金的资金,并且在孩子的左眼的时间部分中看到了许多血管肿大的病变,并将黄斑血管拉开并拉直;在右眼没有明显的含量。进行荧光素的血管造影(FFA),以了解时间部分的血管将患者的左眼拉开并拉直,末端以刷状的刷子结尾,并在局部显示弥漫性和高照明(见图1);右眼颞部的血管被拉开并拉直,末端以刷状的刷子结束,没有灌注区域(见图2)。图1。视网膜病的时间和下部显示出不同的高照明。图2。右眼颞周围部分中的血管将以刷子的方式结束。可以看出,当家族史不再在该地方时,医生发现小小的左眼变成了先天弱视,因此他立即对Pondo进行了审查。发现类似于小刀的伤口。眼科医生根据患者的FFA伴随着临床表现而评论为家族性渗出性玻璃体病(FEVR)。视网膜激光光凝治疗被给予父亲的孩子和双眼外围时间区域。经过半年的随访,未发现任何发展。为什么小米误诊在FEVR上?为什么他的父亲患有同样的病?为什么在激光治疗后调节孩子的病情? May -int将咨询大量文学,并从流行的科学和专业观点中解释它。什么是FEVR? FEVR是由于视网膜血管发育不良引起的遗传性疾病。这种疾病通常涉及眼睛,并且患有不对称的病变。它的主要特征是:第一阶段外周视网膜病毒的异常血管检测,毛细血管突然终止,并出现了一个非灌注区。随着条件的进展,缺血和缺氧会导致视网膜新血管形成,纤维增殖,径向视网膜褶皱并涉及黄斑,黄斑通常从视盘延伸到颞外围(图3)[1];最终,可能发生一系列病理变化,例如视网膜下渗出和视网膜脱离。目前,已经发现许多基因与FEVR相关,但尚未发现50%的病例。图3 [1],视网膜褶皱涉及黄斑,通常将FEVR的椎间盘延伸到FEVR的颞外围。目前,FEVR分类主要基于Pendergast [2]在眼底血管造影中提出的第五阶段中的标准:1阶段1,视网膜周围有一个血管区域,视网膜周围可能会破坏视网膜内血管异常(见图2);第2阶段,视网膜周围有一个血管区域,结合了神经外新血管形成(见图1);第3阶段,黄斑外的视网膜不完全脱离;第4阶段,不完全的视网膜脱离,涉及黄斑的参与;第5阶段,完全视网膜脱离。其中,周期2、3、4和5分为阶段A和B。在A期A中没有渗漏,也没有渗漏。FEVR治疗视网膜激光光凝相1-4 FEVR梳子的视网膜激光光凝渗出液具有出色的治疗作用。基本原理是通过激光通过激光破坏色素上皮细胞和光感受器细胞,从而减少了视网膜氧的消耗,减少了血管内皮生长因子(VEGF)的生产,并最终阻止了AOF的AOF新生血管化,并通过泛量泄漏,从而促进了阳性的早期治疗。但是,也有人们认为,FEVR患者外周血管区域的视网膜发育既困难又瘦。如果进行激光治疗,它很容易引起医源性骨折并增加视网膜脱离的风险。因此,不建议对周围血管区域进行治疗。这种观点是有争议的[3]。此外,抗VEGF治疗也有望是FEVR上重要的互补方法。由于VEGF表达的积累可以促进新血管形成,因此导致玻璃体美国血液疗法和视网膜脱落。注射抗VEGF玻璃体药物可以帮助防止新血管形成,减少泄漏并降低视网膜脱离的风险。但是,仅处理FEVR并需要集成激光治疗是不够的。对于患有3期或UP的患者,应尽快进行手术治疗。经常使用玻璃体切除术和巩膜扣带。玻璃体切除术可以直接缓解视网膜中尤其是后极中的增殖膜的拉动,从而促进了黄斑的视网膜减少。巩膜的扣带是内部的硬化顶端断裂孔,消除或避免了玻璃体牵引力,从而鼓励去除的视网膜神经上皮层重新安装了色素上皮层,从而促进了下视网膜液的吸收并实现了视网膜减少。由于答案已披露,因此所有答案都被揭示了。首先,为什么小刀误诊为弱视?根据分级批准RIA,FEVR'SXIAOLING是左眼的第2阶段,右眼的第1阶段。所有伤口将出现在视网膜的周围部分。如果医生没有误解,则可能会忽略视网膜病变的外围部分。同样,由于两只眼睛的不对称出现,可以通过一只眼睛和正常眼睛的视力降低来描述,因此可以遗漏它为ammblyopia。其次,为什么小小的父亲在FEVR中也会遭受苦难?由于FEVR是一种遗传性疾病,因此去除早产婴儿等疾病(例如在父母中都发现了两种伤口)时,可以根据病变的特征进行诊断。最后,视网膜激光光凝在FEVR的早期阶段具有出色的治疗作用,因此通常将其用作第一种治疗方法。在这里,推荐的字节是一套眼科医生在诊断儿童amblyopia时应仔细评估周围视网膜病变的一套消除FEVR。由于FEVR是遗传性的和终生的,因此观察疾病的变化和发展尤为重要,因此需要对患者和家人的永远随访。参考文献:[1] Coussa RG,Zhao Y,Debenedictis MJ,Babiuch A,Sears J,Traboulsi EI。 CTNNB1中的新型突变导致熟悉的透明性玻璃体病(FEVR)和小头畸形:病例报告和文献综述。眼科基因。 2020年2月; 41(1):63-68。 [2] Pendergast SD,十三山。家族性渗出性玻璃体病变。科学管理的解释[J]。眼科,1998,105(6):1015-1023。 [3] Li Yian,Zhang Qi,Peng Jie,Huang Qiujing,Li Xin,Zhao Peiquan。 BATA荧光素基底的广角的应用量和有效性对家族性透明性玻璃体肾上腺病的治疗[J]。中国眼底疾病杂志,2016年,03:248-251。本文的来源:医学眼科渠道编辑:Ye Zi*“医疗圈”努力成为专业l并且在已发布的内容上可靠,但对内容的准确性没有承诺;要求相关方在使用时或用作决策基础时单独验证。 特别声明:上面的内容(包括照片或视频(如果有))已由“ NetEase”自助媒体平台的用户上传和发布。该平台仅提供信息存储服务。 注意:上面的内容(包括照片和视频(如果有))已由NetASE HAO用户上传和发布,该用户是社交媒体平台,仅提供信息丰富的服务协会。
喜欢 (0) or 分享 (0)
发表我的评论
取消评论

表情

您的回复是我们的动力!

  • 昵称 (必填)
  • 验证码 点击我更换图片

网友最新评论